Новости медицины

18 октября 2017 г. 13:54

Как музыка делает мужские лица более привлекательными

Ученые исследовали влияние музыки на оценку лиц противоположного пола.

15 сентября 2017 г. 12:27

У курильщиков обычных и электронных сигарет, выше риск респираторных симптомов

Два новых исследования еще раз подтверждают опасность курения электронных сигарет.

8 сентября 2017 г. 13:13

Слабость в пожилом возрасте: какие факторы ускоряют или замедляют ее

Какие факторы влияют на слабость у пожилых людей?

5 сентября 2017 г. 13:57

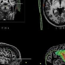
Обнаружена область мозга, ответственная за слуховые вербальные галлюцинации

Височная доля мозга играет ключевую роль в формировании голосовых галлюцинаций.

5 сентября 2017 г. 13:57

ПТСР связано с изменениями в молекулах микроРНК

Ученые изучили роль микроРНК в симптомах ПТСР у военнослужащих.

30 августа 2017 г. 13:27

Клеточная культура может стать прорывом в лечении рака

Устройство для культивирования клеток позволяет наблюдать за резистентностью к лекарствам.

28 августа 2017 г. 12:59

Катетерная абляция эффективнее традиционной терапии при фибрилляции предсердий

Радиочастотная катетерная абляция снижает показатели госпитализации и смертности.

23 октября 2017 г. 14:27

Как антидепрессанты связаны с развитием аутизма

Ученые продолжают исследование для того чтобы понять причины развития аутизма у детей.

17 января 2018 г. 15:50

Новый шаг в лечении рака простаты

Анализ циркулирующих опухолевых клеток может показать, какие методы лечения рака простаты будут наиболее эффективны.